(세균) Nocardia spp.
-
- 작성자
- 최고관리자
-
- 조회
- 167
-
- 작성일
- 2020-02-05
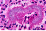
(세균) Nocardia spp.

N. brasiliensis
출처:http://phil.cdc.gov/phil/details.aspID#15055, CDC
• 위 험 군 :제 2위험군
• 국내범주 :-
• 특 성 :Nocardiaceae과, 그람양성, 균사를 형성하며, 알균, 막대균 등 다양하게 분열, 절대 산소성
1. 감염성 및 감염증상
- 잠복기: -
- 폐질환(기관지염, 폐렴, 폐농양증), 1차 혹은 2차 피부감염증(균종, 림포피부감염증, 연조직염, 피하농양증), 2차 중추신경계 감염증(수막염, 뇌농양증)을 유발함.
- 폐감염증은 느리게 진행되기는 하지만 다른 화농성 세균과 구분하기 어려움. 면역저하자에게 주로 발생하며 공동화(cavitation)가 진행된 폐렴을 앓거나 중추신경계나 피하조직으로 전이함.
- 피부감염증은 직접적인 1차 감염(균종(mycetoma), 피부림프감염, 연조직염, 피하 농양증)이거나 1차 폐감염으로부터의 전파에 의해 발생함. 그 외 만성 궤양성 병변, 피하 농양과 연조직염 등을 유발할 수 있으며 이들 환자 중 1/3은 뇌 농양 같은 중추신경계 침범이 유발될 수 있으며 이 경우 만성 수막염으로 발전할 수 있음.
- 과거에 사람에게 질병을 일으키는 가장 흔한 균으로 알려진 N. asteroides는 사람질병과 관계없는 것으로 밝혀짐.
2. 치료 및 백신
- 치료 : 실험실에서 amikacin, imipenem, 광범위 cephalosporin 등 활성이 좋은 것으로 보고되었으나 생체 내 효과는 아직 증명된 바 없음. N. farcinica가 sulfonamide를 비롯한 여러 항균제에 대부분 내성을 보임.
- 백신 : 없음
3. 실험실 생물안전정보
- 감염위해요소
- 감염 경로
- 일반 감염경로:폐감염증의 경우 먼지에 섞인 박테리아 흡입, 피부감염증은 고양이 할큄, 곤충에 물림, 가시에 찔림 등에 의하여 감염됨.
- 실험자 감염경로: 감염성 에어로졸 흡입, 우발적 접종, 상처난 피부 및 점막에 직접접촉에 의하여 감염 가능함. - 감염량 : -
- 숙주:사람, 소, 고양이, 개, 닭, 오리, 염소 등 동물
- 실험실 획득감염: -
- 생물안전밀폐등급
- BL2 권장:임상검체, 의심검체, 감염성물질, 배양체를 취급하는 실험
- ABL2 권장:동물 감염실험 및 감염동물 해부 등
- 개인보호장비 : 반드시 실험복을 착용하고, 감염성물질이 피부에 직접적으로 접촉할 경우 장갑 착용, 감염성물질이 튈 우려가 있을 경우 눈보호구 및 호흡보호장비 착용, 에어로졸 발생우려가 있는 조작과 대량 또는 고농도의 균 취급 시 생물안전작업대(BSC) 내에서 작업할 것을 권장.
- 소독 및 불활성화 : 1% sodium hypochlorite, 2% glutaraldehyde, 70% ethanol, propanol, 2% peracetic acid, 3~6% hydrogen peroxide, 2~5% phenol, 121℃에서 15분 이상 고압증기멸균, 160~170℃에서 1시간 이상 건열멸균 등.
- 숙주 외 환경저항성:토양 및 부패하는 식물성 물질에 생존 가능
- 폐기물 처리:감염성물질을 취급한 모든 폐기물은 고압증기멸균 등의 처리 후 의료폐기물로 처리
