(바이러스) Tick¬-borne encephalitis virus
-
- 작성자
- 최고관리자
-
- 조회
- 5,493
-
- 작성일
- 2020-02-10
(바이러스) Tick-borne encephalitis virus
Tick-borne encephalitis virus(Subtypes: Central European, Far Eastern, Siberian), Omsk hemorrhagic fever virus, Kyasanur Forest disease virus

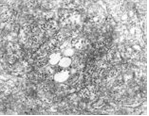
Russian springsummer encephalitis
(RSSE) virions
출처:http://phil.cdc.gov/phil/details.asp ID#10227, CDC/Dr. Fred Murphy; Sylvia Whitfield
• 위험군
-제 4위험군: Central European Tick-borne encephalitis virus, Far Eastern Tick-borne encephalitis (구 Russian spring-summer encephalitis virus), Kyasanur Forest disease virus, Omsk hemorrhagic fever virus
- 제 3위험군: Siberian Tick-borne encephalitis virus
•국내범주
-고위험병원체(Central European Tick-borne encephalitis virus, Far Eastern Tick-borne encephalitis, Siberian Tick-borne encephalitis virus, Kyasanur Forest disease virus, Omsk hemorrhagic fever virus 해당)
-생물작용제(Russian spring-summer encephalitis virus, Kyasanur forest virus, Omsk hemorrhagic fever virus 해당)
-전략물자통제병원체(Russian spring-summer encephalitis virus, Kysanur forest virus, Omsk hemorrhagic fever 해당)
• 특성:Flaviviridae과, (+)ssRNA 바이러스, 피막 있음
병원성 및 감염증상
- 잠복기 : 일반적으로 4~14일이며, 최대 28일
- 뇌염 또는 출혈열을 유발함.
- Tick-borne encephalitis virus는 Far eastern Tick-borne encephalitis virus, Central European Tick-borne encephalitis virus, Siberian Tick-borne encephalitis virus 3가지 subtype이 있음.
- 초기에 특이 증상 없이 두통, 피곤함, 근육통을 동반한 유열성 질병 증상을 나타내며, 이 중 3분의 2정도에 해당하는 감염자는 병이 회복됨. 그 외 감염자는 무균성 수막염, 뇌염, 척수염 등 중추신경계에 영향을 미쳐, 정신상태 이상, 인지장애, 운동실조, 몸 떨림, 두개골 신경마비, 팔다리 마비를 일으킴.
- Far eastern Tick-borne encephalitis virus(구 Russian spring-summer encephalitis virus)
- Omsk hemorrhagic fever virus, Kyasanur forest disease virus가 근연종에 해당.
- 대체로 심각한 질병을 유발하며, 치사율이 20~40%이며, 심각한 신경계 후유증을 남길 확률이 높음.
- Omsk hemorrhagic fever virus:열, 두통, 기침, 근육통, 서맥, 탈수, 저혈압 위장장애가 나타남. 코피, 잇몸출혈, 토혈, 폐출혈, 자궁출혈 등의 출혈성 증상이 있음.
- Kyasanur forest disease virus:열, 두통, 오한, 근육통, 구토, 위장장애, 출혈성 증상이 있음. - Central European Tick-borne encephalitis virus
- Hanzalova virus, Hypr virus, Kumlinge virus가 해당됨.
- 대체로 가벼운 질환 유발, 치사율 2% 이하이며, 환자의 30%가 신경계 후유증 남음. - Siberian Tick-borne encephalitis virus
- 만성적 질환 또는 진행성 질환과 연관이 있으며 치사율 2~3%임
치료 및 백신
- 치료 : 특별한 치료법이나 치료제가 없어 대증요법에 의존
- 백신 : 미국에는 허가받은 백신이 없으며, 유럽, 러시아, 캐나다, 중국에서 사용가능한 백신이 있음.
실험실 생물안전정보
- 감염위해요소
- 감염 경로
- 일반 감염경로:감염된 진드기(Ixodes ricinus)에 물리거나, 감염된 소, 염소, 양 등의 우유를 가공하지 않고 섭취할 경우, 사람 간 전파는 보고된 바 없으나 사람의 경우 수직감염이 보고된 바 있음.
- 실험자 감염경로: 배양액 등 감염성 물질 취급 시 발생하는 에어로졸 흡입, 손상된 피부 및 점막에 노출되거나 날카로운 도구에 찔림, 우발적인 경구 섭취. - 감염량 : -
- 숙주: 사람, 진드기, 작은 설치류
- 실험실 획득감염:
- 1970년 Omsk hemorrhagic fever virus 배양액을 취급 중 감염성 에어로졸 흡입으로 인하여 감염됨.
(출처 : Human laboratory acquired Arbo, Arena, and Hantavirus infection, Journal of the American Biological Association 2000, 5(11)pp 5-11)
- 1988년 Kysanur forest disase virus 배양액을 담고 있는 앰플이 파손되어 취급자 장갑을 뚫고 피부상처를 내면서 감염됨.
(출처 : Human laboratory acquired Arbo, Arena, and Hantavirus infection, Journal of the American Biological Association 2000, 5(11)pp 5-11) - 생물안전밀폐등급
- BL2 권장 : 임상검체 진단, 분자생물학적, 혈청학적 검사
- BL3 권장 : BL4 권장 바이러스의 배양 등 병원체를 직접 취급하는 실험(백신접종시) Siberian Tickborne encephalitis virus를 직접 취급하는 실험
- BL4 권장:바이러스 배양 등 병원체를 직접 취급하는 실험 등
- ABL3 권장:동물 감염실험 및 감염동물 해부 등(백신접종시) Siberian Tickborne encephalitis virus 동물 감염실험 및 감염동물 해부 등
- ABL4 권장:동물 감염실험 및 감염동물 해부 등
- 개인보호구 : 평상복을 완전히 덮는 전신보호복과 덧신 착용 후 추가적인 보호복 또는 필요시 양압복 착용. 에어로졸이 발생하는 조작이나 고농도, 혹은 대용량 배양액 조작은 생물안전작업대 내에서 작업할 것을 권장, 주사바늘 및 뾰족한 실험도구 사용 자제.
- 소독 및 불활성화 : 1% sodium hypochlorite, 70% alcohol, 2~3% hydrogen peroxide, 1% iodine, 열에 약하여 50~60℃에서 30이상 가열, 감마선 조사, 자외선 조사, 121℃에서 15분 이상 고압증기멸균, 2% glutaraldehyde
- 숙주 외 환경저항성:-70℃에서 안정적으로 감염력을 유지할 수 있으며, 동결건조 할 경우 10년 이상 감염력을 유지할 수 있음.
- 폐기물 처리:감염성물질을 취급한 모든 폐기물은 고압증기멸균 등의 처리 후 의료폐기물로 처리
